

通常の矯正治療だけでは治療が難しい場合の対応についてご紹介
矯正治療だけでは改善できない骨格に由来する
不正咬合(例:顎骨のズレが大きいなど)を、顎骨手術(外科手術)と
歯列矯正治療を併用し改善するのが目的です。
歯並びや噛み合わせの問題は、必ずしも「歯」だけが原因とは限りません。
上下の顎の骨の位置や大きさ、バランスにズレがある場合、
歯列矯正だけでは十分な改善が難しいケースがあります。
外科的矯正治療(顎変形症治療)とは、
顎骨の手術(外科手術)と歯列矯正治療を組み合わせることで、
骨格レベルから噛み合わせや顔貌のバランスを整える治療法です。
歯列矯正は、歯を動かして噛み合わせを整える治療です。
しかし、上下の顎骨の位置関係そのものに大きなズレがある場合、歯を無理に動かすだけでは、
といった問題が生じることがあります。
そのため、どうしても改善を行いたい場合は手術が必要になります。
外科的矯正治療では、顎骨の位置を適切な位置に整えたうえで歯列を調整するため、より根本的な改善を目指すことができます。
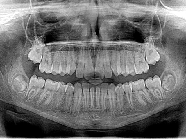
レントゲン、CT、口腔内写真、模型などを用いて、噛み合わせや顎骨の状態を詳しく確認します。

手術に備え、歯を理想的な位置関係に整えるための矯正治療を行います。

口腔外科にて、上顎・下顎、または両顎の骨を移動させ、噛み合わせと骨格のバランスを改善します。

手術後、細かな噛み合わせや歯並びを仕上げるための矯正治療を行います。
※症状や治療方針によって流れが異なる場合があります。
外科的矯正治療は、「顎変形症」と診断された場合、一定の条件下で健康保険が適用されることがあります。
適用の可否は、症状や使用する矯正装置、医療機関の体制などによって異なります。
「矯正だけで治るのか」「手術が必要なのか」は、見た目だけでは判断できません。
また、保険適用できるケースかどうかの判断も、医療機関での診断が必須です。
精密な検査と診断によって、患者様一人ひとりに適した治療方法をご提案します。

