時間を決めずに、あなたの不安と向き合います

横浜よりそう歯科なら
「1日で」
ここまでできます!

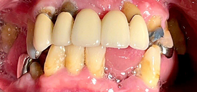
午前10時

治療前

午後1時
すべての抜歯と
インプラント埋入完了

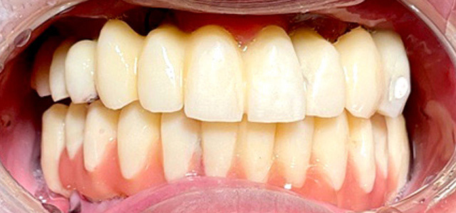
午後3時
仮歯装着完了

来院から
「5時間」
ここまで出来ます!

その他の症例は
こちらでご確認ください>

〜静脈内鎮静法では得られない、安心と快適さを〜

オールオン4は長時間にわたる外科処置。

静脈内鎮静法でも十分リラックスできますが、
「音や振動を感じたくない」「気づいたらすべて終わっていてほしい」
そんな方のために、当院では全身麻酔によるオールオン4手術を導入しています。

静脈内鎮静法と全身麻酔にはこのような差があります

まとめると…
静脈内鎮静法では「うとうと」した状態で治療を受けられますが、
処置中に音や圧力を感じることもあります。

一方、全身麻酔では完全に眠った状態で手術が行われ、 目が覚めたときにはすべてが終わっています。
当院では麻酔専門医が常駐し、呼吸や心拍をモニタリングしながら安全に管理。
「恐怖も不安も一切感じたくない」方に最適な治療環境をご提供します。

横浜よりそう歯科では静脈内鎮静法、全身麻酔ともに対応可能ですので、
手術方法等にご不安のある方はご相談ください。

オールオン4にすることで、
確実に人生の質が向上します。
もし迷っているのなら、今すぐ
「横浜よりそう歯科」にご相談ください!
時間を決めずに、
「あなたの不安と向き合います。

カウンセリング相談無料
(CT撮影、診査・診断、御見積含む)

(全身状態等により、時期の調整や事前の内科治療を
ご提案する場合はございますが、
最終的な解決策を必ず提示いたします)

オールオン4以外にも選択肢があります

「上の顎の骨が薄すぎて、オールオン4は無理だと言われた」
「大掛かりな骨造成が必要で、治療を諦めてしまった」

そんな方でも、歯を取り戻せる方法が「ザイゴマインプラント」です。

通常のインプラントは顎の骨に埋入しますが、ザイゴマインプラントは非常に高い安定性を持つ
「頬の骨(ザイゴマ)」にインプラントを固定します。

3つの大きなメリット

骨造成(骨移植)が不要

上顎の骨が数ミリしかないような難症例でも、骨を作る手術をせずに治療が可能です。身体への負担や治療期間を大幅に短縮できます。

その日に仮歯が入る

オールオン4と同様、手術当日に仮歯を固定できるため、その日のうちに見た目が改善し、軽い食事も楽しめます。

成功率と耐久性が高い

頬の骨は非常に硬く、吸収されにくいため、長期にわたって安定した噛み心地を維持しやすいという特徴があります。

当院には難症例に対応できる経験豊富なドクターが在籍しています。
「他院で断られた」からといって、諦める必要はありません。
最新の設備と技術で、あなたに最適な解決策をご提案します。

(※:全身状態等により、時期の調整や事前の内科治療をご提案する場合はございますが、最終的な解決策を必ず提示いたします)

オールオン4インプラントは外科手術を含む自由診療なので、費用は各クリニックで様々で、
一般的には片顎270万〜450万、上下顎600万〜900万とかなり高額に設定されております。

横浜よりそう歯科では「患者様の経済的負担をできる限り軽くしたい」との思いから、
国内で最安値の金額設定を実現しました。
モニターキャンペーン価格ですので、この機会に是非!

オールオン4の金額を格安に謳っているクリニックでも、
表示金額がオールオン4の手術のみで上部構造は別料金というクリニックも多々あります。
横浜よりそう歯科は上部構造も全て入れた金額となっておりますのでご安心ください。

医療費控除を適用した場合最大95万円(年収により)が返ってくる可能性があります。

オールオン4は4本のインプラントで片顎全ての歯を支えるインプラント治療
総入れ歯が合わない、痛いといったお悩みを感じている方や、
多くの歯を失い、お口の中がボロボロになっている方のための治療です。

顎に埋入するインプラントの数が最小で4本で済むこと、
また骨造成などの手術も必要ないため
通常のインプラントと比較して
患者様の身体的な負担が少ないことが特徴です。

抜歯からインプラントの埋入手術、仮歯の装着まで1日で可能
そのため、手術当日までこれまでの入れ歯も使うことができ、
手術の日の夜には新しくきれいな仮歯で簡単な食事を行うことができます。

従来のインプラントでは手術後に顎の骨とインプラントが結合し
新しい歯が入るまで数ヶ月かかりましたがその負担もありません。

従来のインプラント治療は、ほとんど歯が無い場合に
片方の顎に10数本のインプラントを埋め込まなければならないため、
患者様にとっては身体的にも経済的にも非常に負担のかかる方法でした。

オールオン4は顎に埋め込むインプラント本数が4本で済み
埋め込み方自体も異なり、通常のインプラント治療と比べ
患者様の負担を最小限に抑えることができます。

入れ歯に関する痛みや違和感のお悩みはインプラント治療で
解消されますが、費用や身体の負担が大きく、
治療に踏み出せない方がとても多いと思います。

オールオン4は、最小で片顎4本のインプラントで治療でき、
通常のインプラントで全ての歯を治療するよりも低コストで
口腔内を改善できます。

インプラント治療は骨量が少ないとできない場合があります。
しかし、オールオン4は骨量が少なく神経や血管が多く
集まっている奥歯ではなく、骨量の多い前歯の付近に
インプラントを埋め込みます。

骨量が少ない方でも骨移植などを行うことなく
治療をすることが可能です。

歯周病や重度の虫歯などで、歯が何本もぐらぐらする、物が噛めない、
等のお悩みをお持ちの方はインプラント治療の場合、埋入本数も多くなり、
費用の負担も大きなものとなります。

オールオン4治療では、歯周病でグラグラした歯や重度の虫歯を
抜歯することにより、口腔内環境、歯並び、見た目、が大幅に改善されます。

カウンセリング相談無料
(CT撮影、診査・診断、御見積含む)

(全身状態等により、時期の調整や事前の内科治療を
ご提案する場合はございますが、
最終的な解決策を必ず提示いたします)

オールオン4にしてみたいけど、どうしても「今ある歯を全て抜くということが心配」という方がいらっしゃいますが、
「今ある歯の状態」(重度の歯周病や虫歯、噛み合わせの問題が深刻な場合)によっては、
すべての歯を抜いてオールオン4にすることで長期的な健康や生活の質を向上させることが可能です。

今ある歯を全て抜いてオールオン4にするメリット 

1:歯周病や虫歯の問題を根本的に解決できる

歯周病が進行すると、歯がグラグラしたり、炎症で口臭が発生したり、最終的には抜歯が必要になります。 
また、複数の歯が重度の虫歯になっていると、1本ずつ治療してもすぐに別の歯が悪くなる可能性があります。 

すべての歯を抜いてオールオン4にすれば、歯周病や虫歯のリスクをゼロにできるため、
長期的に健康な口内環境を維持しやすくなります。

2:しっかり噛めるようになり、食事の制限がなくなる

今の歯がボロボロでしっかり噛めない場合、食事の楽しみが減ってしまいます。
また、総入れ歯では硬いものが噛みにくく、ズレたり痛みが出たりすることもあります。

オールオン4は固定式のため、天然の歯に近い噛み心地を取り戻せます。
肉やナッツなどの硬い食べ物も問題なく食べられるようになります。

3:見た目が美しく、若々しい印象を取り戻せる

歯がボロボロだと見た目の印象が大きく変わり、自信を失うこともあります。

オールオン4は、患者さんに合わせた自然な見た目の人工歯を作るため、口元の美しさが復活します。
また、歯が抜けたままだと顎の骨が痩せて顔の輪郭が変わることがありますが、
オールオン4は骨の吸収を抑え、若々しい印象を保ちやすくなります。

4:繰り返しの歯科治療から解放される

虫歯治療、根管治療、ブリッジ、入れ歯の調整など、何度も歯科治療を繰り返すのは大きなストレスになります。

オールオン4なら、一度の手術で長期的に安定した歯を手に入れられるため、
「歯のトラブルから解放される」というメリットがあります。

オールオン4にすることで、
確実に人生の質が向上します。
もし迷っているのなら、今すぐ
「横浜よりそう歯科」にご相談ください!
時間を決めずに、
「あなたの不安と向き合います。

横浜よりそう歯科のオールオン4は、長期的な快適性を重視しております。
日々の食生活とQOLに配慮した、患者様満足度の高いインプラント治療です。
横浜よりそう歯科のオールオン4は、長期的な快適性を重視しております。
日々の食生活とQOLに配慮した、患者様満足度の高いインプラント治療です。

「骨が少ない」「重度の歯周病」「糖尿病などの疾患」を理由に他医院で治療を断られた方。
当院は上記を理由に治療を断ることはございません。

当院ではインプラント治療の経験が豊富な専門ドクターが
複数在籍しておりますので、あらゆる「難症例」に対応しております。
他医院で断られた方、「入れ歯しかできません」と言われた方、
一度ご相談いただければ必ず解決策をご提案致します。

骨が足りない部分に新たに骨を作りだす術式です。
治療期間やコスト面での負担は決して小さくありませんが、インプラント治療を受けられます。この治療法は難易度が高いため、どの医院でも対応している方法ではありません。

しかし当院では、「GBR」「サイナスリフト」「ソケットリフト」といった治療法に対応可能です。状態や上下顎のどちらかによって、適切な方法で骨造成を行います。

重度の歯周病、喫煙習慣、糖尿病・心臓病などの慢性疾患、免疫不全状態といった問題を抱えている方は治療できない場合が多いことが知られています。

逆に言えば、歯周病や喫煙は、改善できればインプラント治療が可能になります。また、慢性疾患や免疫不全も、安定した管理がなされているようであればあきらめる必要はありません。
歯科医院と主治医とで連携を取ることで治療を進められる方もいらっしゃいます。

昨年(2025年)、当院が治療をお断りした患者様は0人です。

「インプラントをしたいけれど、骨が少ないから無理だと言われた」「持病があるからと断られた」……
そんなお悩みで来院される方が、当院には多くいらっしゃいます。

横浜よりそう歯科では、高度な骨造成技術(GBR・サイナスリフト等)と、
経験豊富な専門ドクターのチーム体制により、あらゆる難症例に対応。 

昨年1年間(2025年)、オールオン4を希望して来院された患者様に対し、
当院から治療をお断りしたケースは一件もございません(※)。

患者様の「噛める喜び」を諦めない。
それが私たちのプライドです。

(※:全身状態等により、時期の調整や事前の内科治療をご提案する場合はございますが、最終的な解決策を必ず提示いたします)

歯がまだ数本残っていますが、オールオン4での治療は可能ですか?
治療することは可能です。
通常は、歯が残っている方や義歯を入れている方は手術当日に抜歯を行います。
同日中にインプラントを埋め込み、その数時間後(症状によっては後日)に新しい仮歯が入ります。
オールオン4は、どのくらい耐用性がありますか?心配です
医学文献によるお話となりますが、インプラントの1年後の残存率は上顎で97.6%下顎で98.2%です。
ブリッジとしては上下とも100%という結果が出ています。
手術が大掛かりのようなので、痛くないか心配です
手術中は局所麻酔と静脈内鎮静法を併用することで
痛みにご不安な方でも安心して手術を受けることが可能です。
できるだけ痛くなくやっていただけますか?
症状によっては、歯ぐきに3ミリ程度の孔を4つ開けるだけで手術が終わります。
型を取る必要もないので、手術からの仮の歯が入るまで、早ければ1時間程度で終わります。
また、手術後も出血や腫れ、痛みが少なくて済むことが特徴です。
高齢で体力に自信がありません。
体力のない方や高齢の方でも手術は可能です。
あご骨の状態によっては使用できない場合もありますので、まずはご相談ください。
治療後の食事で気をつけることは?
術後しばらくは、できるだけインプラントに無理がかからないように、
硬いものは避けていただいたほうがよいようです。
入院は必要でしょうか?
手術は通常1日で終わります。
遠方からお越しの患者様もご安心ください。

カウンセリング相談無料
(CT撮影、診査・診断、御見積含む)

(全身状態等により、時期の調整や事前の内科治療を
ご提案する場合はございますが、
最終的な解決策を必ず提示いたします)

ボロボロの虫歯
「オールオン4」で一気に治療

※片顎4本の場合の価格です
※当院での治療は公的保険が適用されません
※お支払いはクレジット医療ローンで分割支払が可能です(月18,000円〜 / 3〜120回まで)
※医療費控除を適用した場合最大95万円(年収により)が返ってくる可能性があります。

「噛める喜び」を、すべての方へ。
横浜から、あきらめないインプラント治療を。

この度、横浜の地に
「横浜よりそう歯科オールオン4センター」を開院する運びとなりました。

私たちはこれまで、東京を拠点に多くの難症例と向き合ってまいりました。
私たちの誇りは、「昨年、オールオン4治療をお断りした患者様が一人もいない(0人)」という実績です。

「骨が足りないから無理だと言われた」 「手術が怖くて一歩踏み出せない」 「何度も通うのは体力的に不安だ」

そんな悩みをお持ちの方にこそ、当院の技術を届けていきたいと考えています。

当院が約束する「あきらめない」ための3つの柱

他院で断られた方も対応する「ザイゴマインプラント」

上顎の骨が極めて少ない方でも、頬の骨(ザイゴマ)を利用することで、
その日のうちに固定式の歯を支える高度な術式に対応しています。

痛みや恐怖心に配慮した「全身麻酔・静脈内鎮静法」

「寝ている間に治療が終わる」ような感覚で手術を受けられる体制を整えています。
歯科恐怖症の方も安心してご相談ください。

「断らない」という強い責任感

高度な専門技術と設備を揃えることで、他院で「不可能」と診断されたケースでも、
私たちは解決策を見出し、最後まで責任を持って伴走いたします。

歯を失ったことで、食事や会話の楽しさをあきらめていませんか?
当院は、ただ歯を埋める場所ではありません。あなたの人生の質(QOL)を再び高めるための場所です。

まずはじっくり、あなたのお悩みを聞かせてください。
横浜の地で、皆様に最も“よりそう”歯科医療を提供することをお約束いたします。

東京大学医学部附属病院出身
大学病院レベルの難症例も対応
日本歯科大学卒業

大学病院では顎変形症や矯正を学び
2024年3月まで東京大学附属病院にて口腔顔面外科・矯正歯科勤務
2026年2月 横浜よりそう歯科オールオン4センター

医院名横浜よりそう歯科 オールオン4センター
総括院長 松本 泰孝
横浜院・院長 田中
所在地 〒 221-0835
神奈川県横浜市神奈川区鶴屋町3丁目29-4
CRANE CORNER 1F
最寄り駅 京急線・京浜東北線・東横線・東海道線・
根岸線・横浜線・横須賀線・相鉄線
横浜駅
診療科目一般歯科・審美歯科・インプラント
ボロボロ虫歯外来・無痛外来・歯科口腔外科

カウンセリング相談無料
(CT撮影、診査・診断、御見積含む)

(全身状態等により、時期の調整や事前の内科治療を
ご提案する場合はございますが、
最終的な解決策を必ず提示いたします)

Copyright 2025- ホームページ制作 東京Site 横浜よりそう歯科 オールオン4センター All rights reserved.